08/06/2025
Plötzlich auftretende Schmerzen an Knochen können ein alarmierendes Symptom sein, das auf ein Knochenödem hinweist. Dieses, auch als Knochenmarködem bezeichnete Krankheitsbild, geht mit einer schmerzhaften Flüssigkeitsansammlung im Knochen einher. Häufig ist es die Folge von Frakturen, Traumata oder zugrunde liegenden Vorerkrankungen. Besonders oft tritt ein Knochenödem in stark beanspruchten Bereichen wie der Hüfte, im Knie oder am Sprunggelenk auf. Doch was genau verbirgt sich hinter diesem Phänomen, und welche Wege gibt es, um die Beschwerden zu lindern und die Heilung zu fördern?
Ein Ödem bezeichnet im Allgemeinen eine Flüssigkeitsansammlung in einem Hohlraum des Körpers und ist in seiner Entstehung mit einem Bluterguss vergleichbar. Durch diese angesammelte Flüssigkeit entsteht im betroffenen Hohlraum eine Schwellung, die Druck auf das umliegende Gewebe sowie angrenzende Blutgefäße und Nervenbahnen ausübt. Dieser Druck führt zu Schmerzen, die sich vor allem bei Belastung bemerkbar machen und vom Betroffenen oft nicht eindeutig lokalisiert werden können.

- Die Natur eines Knochenödems: Ein Blick ins Innere
- Vielfältige Ursachen: Warum entsteht ein Knochenödem?
- Symptome: Wenn der Knochen schmerzt
- Diagnose: Den unsichtbaren Schmerz sichtbar machen
- Behandlung: Wege zur Genesung
- Verlauf, Komplikationen und Prävention
- Knochenödem am Knie: Ein häufiger Brennpunkt
- Häufig gestellte Fragen (FAQs)
- Was verursacht ein Knochenödem am Knie?
- Wie lange dauert ein Knochenödem am Knie?
- Wie lange wird man bei einem Knochenödem am Knie krankgeschrieben?
- Wie lange darf man bei einem Knochenödem am Knie keinen Sport treiben?
- Kann ein Knochenödem auch nach einer Arthroskopie auftreten?
- Welche Rolle spielen Bisphosphonate bei der Behandlung eines Knochenödems?
- Ist bei einem Knochenödem Wärme oder Kälte besser?
- Was ist eine Anbohrung bei einem Knochenödem?
- Kann Akupunktur bei einem Knochenödem helfen?
Die Natur eines Knochenödems: Ein Blick ins Innere
Ein Knochenödem im Speziellen betrifft krankheitsbedingte Hohlräume des Knochens. Knochen bestehen aus zwei verschiedenen Geweben: der Kortikalis, einer harten und kompakten Außenschicht, und dem Trabekel, einem eher schwammartigen Gewebe, das die innere Skelettmasse bildet. Im Trabekel befindet sich eine große Anzahl von Blutgefäßen, die für die Nährstoffversorgung des Knochens unerlässlich sind. Eine Flüssigkeitsansammlung innerhalb dieses schwammartigen Trabekels verursacht die Knochenentzündung. Dies geschieht häufig, wenn Blutgefäße reißen und es zu Blutungen im Inneren des Knochens kommt, oder durch die Ansammlung von Entzündungsflüssigkeit nach einer Verletzung. Man könnte es als eine Art Bluterguss im Inneren des Knochens bezeichnen.
Es ist wichtig zu beachten, dass die Eigenschaften eines Knochenödems je nach seiner Reversibilität variieren, wodurch es in zwei Hauptgruppen eingeteilt wird:
- Transientes Knochenödem-Syndrom (TKMÖS): Hierbei handelt es sich um einen reversiblen Entzündungsprozess, der mit der richtigen Behandlung und der Zeit abklingt.
- Osteonekrose: Dieser Zustand ist schwerwiegender, da er das Absterben von knochenbildenden Zellen (Osteozyten) verursacht. Aus diesem Grund gilt er als nicht umkehrbar und birgt ernsthafte Risiken für die Knochenstruktur.
Unbehandelt kann sich ein Knochenödem tatsächlich zu einer Osteonekrose entwickeln. Diese wird durch einen Gefäßverschluss (Infarkt) hervorgerufen, der gelegentlich durch das raumfordernde Ödem entsteht und eine irreparable Zerstörung des Knochens zur Folge haben kann.
Abgrenzung: Knochenödem vs. Wasser im Kniegelenk
Obwohl beide Begriffe eine Flüssigkeitsansammlung beschreiben, ist es wichtig, sie zu unterscheiden. Wasser im Kniegelenk, auch als Kniegelenkserguss bezeichnet, tritt als freie Flüssigkeit im Gelenk auf, meist infolge einer Entzündung (z.B. durch Infektionen oder rheumatische Erkrankungen). Ein Knochenödem hingegen beschreibt eine Wassereinlagerung innerhalb von Hohlräumen des Knochens selbst und nicht als freies Wasser im Gelenk. Auch wenn eine Knochenschädigung sowohl zu einem Knochenödem als auch zu einem Gelenkerguss führen kann, sind es zwei unterschiedliche Phänomene.
Vielfältige Ursachen: Warum entsteht ein Knochenödem?
Die genauen Auslöser, die zur Entstehung eines Knochenödems führen, sind derzeit noch nicht abschließend bekannt und oft multifaktoriell. Klar scheint zu sein, dass eine mangelhafte Durchblutung des Knochens die Knochenstruktur so schädigen kann, dass sich Hohlräume bilden. Ebenso können Traumata des Knochens zu Veränderungen in der Knochenbinnenstruktur führen, welche die Entstehung von Hohlräumen begünstigen. Neben diesen stehen noch weitere Ursachen wie hormonelle Veränderungen oder medikamentöse Nebenwirkungen im Verdacht, Knochenödeme hervorzubringen. Hier ein detaillierter Überblick zu denkbaren Entstehungsprozessen:
- Ischämie (Durchblutungsstörungen): Ist die Durchblutung eines Knochens dauerhaft gestört, führt dies zu einer Unterversorgung der Knochen mit Sauerstoff und Nährstoffen. Dies schwächt die Knochenstruktur und kann langfristig zum Untergang von Knochengewebe und zur Bildung von Hohlräumen führen.
- Traumata (Verletzungen): Verletzungen, die bei Frakturen, Unfällen, operativen Eingriffen oder anhaltendem Verschleiß entstehen, können Hohlräume innerhalb des Knochens provozieren. Knochenödeme entstehen dabei besonders häufig nach Sportverletzungen am Sprunggelenk oder Knie, da diese Gelenke extremen Belastungen ausgesetzt sind. Auch langanhaltende Mikroverletzungen, wie sie beispielsweise bei einem Marathonlauf durch tausende Aufprälle auf den Boden entstehen, können ein Knochenödem verursachen.
- Erkrankungen: Auch Erkrankungen, die zu einer Schwächung der Knochenstruktur beitragen, sind als Ursache für ein Ödem denkbar. Insbesondere Krankheiten wie Knochenmarkentzündung, Knocheninfarkte und Knie- oder Sprunggelenksarthrose lassen sich immer wieder als Urheber eines Knochenödems feststellen. Neben diesen stehen auch Erkrankungen wie Rheuma, Tumore oder Stoffwechselstörungen (z.B. Morbus Gaucher, Diabetes mellitus) als mögliche Ursachen in der Forschungsdiskussion. Sollten die Krankheiten mit weitreichenden Entzündungs- oder Degenerationsprozessen im Knochen einhergehen, ist ferner Osteonekrose eine große Gefahr.
- Weitere mögliche Ursachen:
- Medikamentöse Nebenwirkungen: Bestimmte Medikamente, wie beispielsweise Kortison, können die Knochenstruktur negativ beeinflussen.
- Hormonstörungen: Hormonelle Ungleichgewichte, wie Hypogonadismus, können ebenfalls zur Entstehung eines Knochenödems beitragen.
- Belastungsintensive Sportarten: Sportarten, die den Knochen stark beanspruchen (z.B. Tauchen), können das Risiko erhöhen.
- Schwangerschaft: Eine in der Schwangerschaft erlittene Kompressionsfraktur eines Lendenwirbels kann zu einem Knochenmarködem führen.
- Übergewicht: Besonders riskant ist Übergewicht. Die anhaltende Mehrbelastung der Knochen kann zu Knochenverschleiß und infolgedessen zu einem knocheninternen Ödem führen. Vor allem die Knie leiden stark unter der Gewichtsbelastung, weshalb Knochenödeme bei Adipositas vermehrt in diesem Bereich auftreten.
Symptome: Wenn der Knochen schmerzt
Ein Knochenmarködem entwickelt sich oft über einen längeren Zeitraum ohne Schmerzsymptomatik. Diese tritt dann häufig unvermittelt auf, ohne dass eine direkte Ursache erkennbar ist. Die Schmerzen beziehen sich dabei vor allem auf die betroffene Knochenregion, strahlen aber nicht selten auch in andere Körperregionen aus (z.B. Ober- oder Unterschenkel bei Kniebeteiligung). Ein typisches Indiz, das auf ein Knochenödem hindeutet, ist der nahezu wirkungslose Einsatz von Schmerzmitteln, welche die Schmerzen kaum bis gar nicht lindern können. Insgesamt geht ein Knochenödem mit folgenden Symptomen einher:
- Gelenkschmerzen (z.B. am Knie, an der Schulter, am Sprunggelenk oder an der Hüfte)
- Starker Belastungs- oder Druckschmerz
- Schmerzen in Ruhe (dies kann ein mögliches Anzeichen für eine Osteonekrose sein, wenn die Verletzung nicht rechtzeitig behandelt wird)
- Bewegungseinschränkungen des betroffenen Gelenks
- Gelegentlich Schwellungen und Rötungen der umliegenden Weichteile
Wichtig: Im Anfangsstadium ist ein Knochenmarködem für Betroffene oftmals kaum zu erkennen, da sich außer Schmerzen keine weiteren charakteristischen Symptome einstellen. Bei einschlägigen Vorerkrankungen und Vorverletzungen der Knie oder anderen gelenkführenden Knochenabschnitten sollten darum regelmäßige Kontrolluntersuchungen erfolgen, damit das Ödem früh erkannt werden kann.
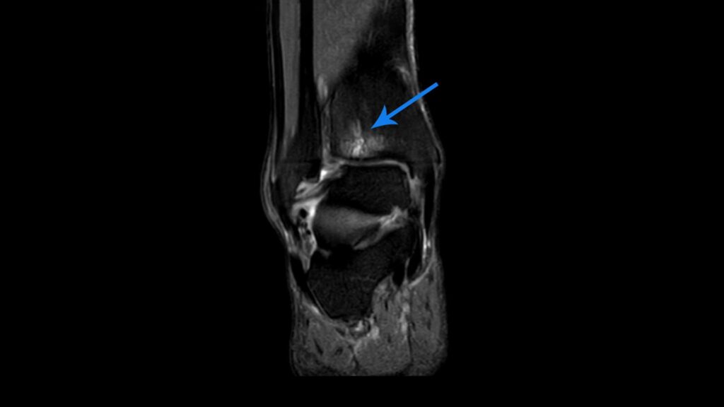
Diagnose: Den unsichtbaren Schmerz sichtbar machen
Die Selbstdiagnose eines Knochenmarködems ist nicht immer einfach, da die auftretenden Symptome nicht eindeutig sind und oft auch andere Ursachen haben können. Daher sind ärztliche Untersuchungsmethoden unerlässlich. Nach einem ausführlichen Gespräch und einer körperlichen Untersuchung wird der Arzt in der Regel bildgebende Verfahren anordnen.
Ein traditionelles Röntgenbild ist für die Erkennung eines Knochenödems meist nicht ausreichend, da diese Art von Verletzung darauf nicht zu erkennen ist. Die sicherste Abklärung erfolgt daher mittels einer MRT (Magnetresonanztomographie), oft in Kombination mit einem zuvor injizierten Kontrastmittel. Dieses lagert sich am Knochenödem ab und macht es so eindeutig erkennbar. Auch neue Techniken wie die Dual-Energie-Computertomographie (DECT) können sehr nützliche Hilfsmittel bei der Erkennung von Knochenödemen sein. Da eine MRT-Untersuchung jedoch aufwendig und teuer ist, sollte sie nur in begründeten Einzelfällen erfolgen, insbesondere wenn der Verdacht auf ein Knochenödem besteht, das nicht von selbst abklingt.
Behandlung: Wege zur Genesung
In seltenen Fällen (z.B. nach leichten Prellungen der Knie) kann sich ein Knochenmarködem von selbst zurückbilden. Meist ist dies aber aufgrund bereits eingetretener Folgeschäden oder des Schweregrades des Ödems nicht möglich, sodass eine medizinische Behandlung unausweichlich ist. Die Art der Therapie richtet sich dabei vor allem nach der zugrunde liegenden Ursache und kann mehrere Monate in Anspruch nehmen. Nach aktuellem Forschungsstand scheint sich die Erfolgsrate der Behandlung durch eine Kombination von konservativen und invasiven Behandlungsmaßnahmen zu erhöhen.
Konservative Therapiemethoden
Um die Durchblutung des Knochens zu verbessern, werden zunächst Infusionen (z.B. mit Iloprost) eingesetzt, die gefäßerweiternd wirken. Bereits auftretende Gewebeschwellungen werden durch Lymphdrainagen, Kühlung und Physiotherapie behandelt, wobei letztere Komplikationen wie Frakturen und Muskelabbau in der betroffenen Körperregion verhindern kann. Zusätzlich werden entzündungshemmende Medikamente (z.B. Ibuprofen, Diclofenac) sowie Mittel zum Knochenaufbau (z.B. Aminobiphosphate wie Bisphosphonate) verabreicht. Bisphosphonate hemmen den Abbau von Knochensubstanz und sind besonders sinnvoll, wenn dem Knochenödem eine Erkrankung mit vermindertem Knochensubstanz zugrunde liegt.

Invasive Therapiemethoden: Core Decompression (Anbohrung)
Als invasive Methode hat sich das Anbohren des betroffenen Knochens innerhalb einer Operation bewährt. Diese Entlastungsbohrung nimmt den durch das Ödem entstandenen Druck vom Knochen und dem umgebenden Gewebe, wodurch sich die Schmerzsymptomatik meist unmittelbar verbessert. Zusätzlich wird der Knochen zur erneuten Bildung von Zellen angeregt und die Blutzirkulation verbessert. Dieser Eingriff sollte jedoch erst in Betracht gezogen werden, wenn alle anderen Behandlungsmöglichkeiten ausgeschöpft sind und der Druck so stark ist, dass nicht zu lindernde Beschwerden auftreten oder gar ein Absterben von Knochensubstanz droht.
Die Bedeutung der Schonung
Auch wenn sich durch Maßnahmen wie Kühlung oder eine Entlastungsbohrung eine unmittelbare Schmerzlinderung einstellen kann, muss der betroffene Knochen dennoch für mehrere Wochen geschont werden. Gerade die Knie neigen bei vorliegendem Knochenmarködem selbst bei Normalbelastung dazu, weitere Reizungen und Gewebeschäden auszubilden. Darüber hinaus wird auch die Entstehung von Osteonekrose durch anhaltende Belastung befördert. Versuchen Sie daher, die Bewegung erkrankter Gelenke während der Therapie auf ein Minimum zu beschränken. Ruhe ist für eine optimale Genesung maßgebend.
Ergänzende Behandlungsmethoden
- Homöopathie: Eine Behandlung mit homöopathischen Mitteln kann allein oder ergänzend erfolgen. Aufgrund der vielfältigen Ursachen und Symptome gibt es keine einheitliche Empfehlung; die Wahl des Präparats erfolgt individuell durch einen erfahrenen Homöopathen.
- Wärme oder Kälte: Meist ist Kühlen des Gelenks sinnvoll, besonders nach einer Verletzung oder zur Linderung von Schmerzen, Schwellungen und Rötungen. Bei chronischen Zuständen wie Arthrose kann Wärme jedoch Linderung verschaffen. Die Entscheidung sollte immer in Absprache mit dem behandelnden Arzt getroffen werden.
- Akupunktur: Bei langwierigen Beschwerden kann Akupunktur zur Schmerzlinderung eingesetzt werden. Sie ist eine nebenwirkungsarme Alternative und kann auch in Kombination mit anderen Therapien angewendet werden, um körpereigene schmerzlindernde Botenstoffe anzuregen.
Verlauf, Komplikationen und Prävention
Ein frühzeitig erkanntes Knochenmarködem lässt sich in der Regel erfolgreich behandeln, ohne dass es zu Folgeschäden wie Osteonekrose kommt. Unbehandelt kann ein Knochenödem allerdings zu einer anhaltenden Verringerung der Knochendichte (Osteopenie) beitragen. Weitere Schädigungen wie Mikrofrakturen entstehen dann bereits bei geringer Belastung. Im weiteren Verlauf kann dies zu Bewegungseinschränkungen und durch schmerzbedingte Schonhaltung zum Abbau der umliegenden Muskelpartien führen. Im schlimmsten Fall endet ein Knochenödem dann in einer Osteonekrose, die eine irreparable Destruktion des Knochens zur Folge hat.
Besonders komplikationsträchtig sind Knochenödeme im Bereich der Knie, Hüfte oder des Sprunggelenks. Da die Gelenkabschnitte erfahrungsgemäß am stärksten belastet werden, ist ein Heilungsprozess oft sehr langwierig. Halten Sie sich deshalb unbedingt an die Schonungshinweise des Arztes, um Komplikationen soweit möglich zu vermeiden.
Präventive Maßnahmen
Um einem Knochenmarködem bestmöglich vorbeugen zu können, empfiehlt es sich, regelmäßig Sport zu treiben. Dies fördert den Muskelaufbau, was wiederum Knochen und Gelenke entlastet und sie zusätzlich stabilisiert. Sportliche Betätigung sorgt außerdem für eine Anregung des Stoffwechsels, wodurch es zu einem verstärkten Aufbau von Knochensubstanz kommt. Achten Sie aber darauf, dass Ihr Sporttraining in gesundem Maße erfolgt und Bewegungen richtig ausgeführt werden. Gelenkbelastende Sportarten wie Jogging sind diesbezüglich nicht uneingeschränkt zu empfehlen, da sie die Knie eher belasten denn stärken. Eine ausgewogene Ernährung, die reich an Vitamin D und Kalzium ist, unterstützt zudem die Knochengesundheit.
Knochenödem am Knie: Ein häufiger Brennpunkt
Das Kniegelenk, als größtes bewegliches Gelenk des Körpers, ist aufgrund der hohen Belastung, der es ausgesetzt ist, häufiger von einem Knochenödem betroffen als die meisten anderen Körperregionen. Als Knochenödem am Knie bezeichnet man eine Flüssigkeitsansammlung innerhalb des Knochens, die zum Beispiel infolge von Verletzungen oder Knochenerkrankungen auftreten kann.
Ursachen für ein Knochenödem am Knie
Ein Knochenödem am Knie ist keine definierte Krankheit, sondern eine krankhafte Veränderung des Knochens aufgrund einer Wassereinlagerung, die auf ganz unterschiedliche Ursachen zurückzuführen sein kann:
- Verletzungen (Unfälle): Unfälle, z.B. beim Fußballspielen oder anderen Sportarten, stellen eine der häufigsten Ursachen dar. Durch die Zerstörung kleiner Elemente der Knochenarchitektur entstehen Hohlräume, die sich mit Wasser oder Blut füllen und damit ein Knochenödem am Knie auslösen. Bei einem ansonsten gesunden Menschen und normaler Durchblutung heilen diese Schäden oft von selbst ab. Nur bei Knochenbrüchen oder anhaltenden Beschwerden ist eine gezielte Behandlung nötig.
- Kniearthrose: Bei einer Kniearthrose, einer Verschleißerkrankung des Kniegelenks, kann es aufgrund einer Schädigung des Gelenkknorpels zu einer Flüssigkeitseinlagerung in den Knochen kommen. Man spricht dann von einem reaktiven Knochenödem des Knies, da es sich infolge einer vorbestehenden Gelenkerkrankung entwickelt.
- Mangelhafte Durchblutung: Eine schlechte Durchblutung des Knochens kann ebenfalls zu Knochenschädigung und daraus resultierendem Knochenödem führen.
- Weitere Ursachen: Nebenwirkungen von Medikamenten oder Stoffwechselerkrankungen stellen weitere mögliche Ursachen dar.
Begleitende Symptome am Knie
Bei einem Knochenödem am Knie sind verschiedene begleitende Symptome möglich, wobei in manchen Fällen auch gar keine Beschwerden auftreten. Am häufigsten kommt es zu Schmerzen, die insbesondere bei Belastung wie beim Gehen in Erscheinung treten. In Ruhe wie etwa im Liegen bestehen dagegen oftmals keine oder nur geringe Schmerzen. Zusätzlich kann es am betroffenen Knochen zu einer Schwellung oder Rötung kommen. Die Schmerzen können dabei auch ausstrahlen und zum Beispiel im Ober- oder Unterschenkel wahrgenommen werden. Weiterhin kann ein Knochenödem am Knie zu einer Einschränkung der Beweglichkeit des Gelenks führen, sodass es nicht mehr ganz gestreckt oder gebeugt werden kann. In Verbindung mit den Schmerzen kann dadurch das Gangbild stark beeinträchtigt sein. Generell sind belastungsabhängige Schmerzen am Knie ein häufiges Symptom, das jedoch nur in sehr seltenen Fällen durch ein Knochenödem bedingt ist; viel häufiger sind muskuläre Ursachen oder Gelenkverschleißerkrankungen wie eine Arthrose.
Häufig gestellte Fragen (FAQs)
Was verursacht ein Knochenödem am Knie?
Ein Knochenödem am Knie wird häufig durch Verletzungen (z.B. Sportunfälle, Frakturen), mangelhafte Durchblutung des Knochens oder zugrunde liegende Erkrankungen wie Kniearthrose, Knochenmarkentzündung oder Stoffwechselstörungen verursacht. Auch Medikamentennebenwirkungen, Hormonstörungen und Übergewicht können Auslöser sein.

Wie lange dauert ein Knochenödem am Knie?
Die Dauer eines Knochenödems am Knie ist sehr variabel und hängt von der Ursache und dem Schweregrad ab. Sie kann zwischen einigen Tagen bis hin zu mehreren Monaten liegen. In manchen Fällen bildet es sich auch nicht vollständig zurück und verbleibt dauerhaft. Wichtiger als die Dauer ist die Entwicklung der Beschwerden; bei zunehmenden oder anhaltenden Schmerzen sollte die Behandlung angepasst werden.
Wie lange wird man bei einem Knochenödem am Knie krankgeschrieben?
Die Dauer der Krankschreibung hängt von den Symptomen, der Art der Arbeit und den notwendigen Behandlungsmaßnahmen ab. Bei körperlicher Arbeit kann eine Krankschreibung für einige Tage oder Wochen angezeigt sein, um dem Knie die notwendige Schonung zu ermöglichen. Nach einem Unfall ist man meist nach einigen Wochen wieder arbeitsfähig.
Wie lange darf man bei einem Knochenödem am Knie keinen Sport treiben?
Auf Sport sollte verzichtet werden, solange Schmerzen oder Bewegungseinschränkungen bestehen. Eine leichte, gelenkschonende Belastung (z.B. Schwimmen, Fahrradfahren) kann jedoch in vielen Fällen sinnvoll sein, um den Knochenstoffwechsel anzuregen und die Heilung zu fördern. Die Entscheidung, wann Sport wieder aufgenommen werden kann, sollte individuell mit dem behandelnden Arzt getroffen werden.
Kann ein Knochenödem auch nach einer Arthroskopie auftreten?
Ein Knochenödem am Knie nach einer Arthroskopie (Gelenkspiegelung) ist eine sehr seltene, aber mögliche Komplikation. Es kann durch eine Beschädigung der Knorpelflächen oder des Knochens während des Eingriffs entstehen, was zum Absterben von Knochensubstanz und zur Flüssigkeitseinlagerung in Hohlräumen führen kann. Bei Schmerzen oder anderen Symptomen nach einer Arthroskopie sollte immer der behandelnde Arzt konsultiert werden.
Welche Rolle spielen Bisphosphonate bei der Behandlung eines Knochenödems?
Bisphosphonate können zur Behandlung eines Knochenödems eingesetzt werden, insbesondere wenn eine Erkrankung zugrunde liegt, die mit einem erhöhten Knochenabbau einhergeht (z.B. Osteoporose). Sie hemmen den Abbau von Knochensubstanz. Die Anwendung sollte jedoch aufgrund möglicher Nebenwirkungen nur in begründeten Fällen erfolgen.
Ist bei einem Knochenödem Wärme oder Kälte besser?
In den meisten Fällen ist Kühlen des betroffenen Gelenks sinnvoll, besonders nach einer akuten Verletzung oder zur Linderung von Schmerzen, Schwellungen oder Rötungen. Bei chronischen Zuständen, wie z.B. einer Kniegelenksarthrose, kann Wärme jedoch eine Besserung der Beschwerden erzielen. Die beste Wahl sollte immer mit dem behandelnden Arzt abgesprochen werden.
Was ist eine Anbohrung bei einem Knochenödem?
Eine Anbohrung des betroffenen Knochens ist eine aggressive, invasive Behandlungsalternative. Sie wird erwogen, wenn der durch die Wassereinlagerung ausgeübte Druck so stark ist, dass nicht zu lindernde Beschwerden auftreten oder gar ein Absterben von Knochensubstanz droht. Die Anbohrung soll den Druck entlasten und den Knochen zur Bildung neuer Zellen anregen. Dieser Eingriff ist meist der letzte Ausweg, wenn andere Behandlungsmöglichkeiten ausgeschöpft sind.
Kann Akupunktur bei einem Knochenödem helfen?
Bei langwierigen Beschwerden aufgrund eines Knochenödems kann Akupunktur versucht werden, um eine Linderung der Schmerzen zu erzielen. Sie gilt als nebenwirkungsarme alternative Therapieform, die die Symptome lindern, aber keine ursächliche Behandlung darstellen kann. Akupunktur kann jedoch zusätzlich in Kombination mit anderen Therapieverfahren eingesetzt werden.
Wenn du andere Artikel ähnlich wie Knochenödem: Ursachen, Symptome & Genesungswege kennenlernen möchtest, kannst du die Kategorie Gesundheit besuchen.
